Trinias Unity Smart Edition (C16/C12/F12)
Das Konzept der Trinias Unity Edition Serie
Unity: unlimited intelligent technology
- Individuelle Erfahrung trifft ultimative Flexibilität
- Unendliches Potenzial für effizienten Workflow
- TOP-Designkonzept optimiert Interventionen
Trinias Systeme für die interventionelle Angiographie
Intelligentes Design bietet einen zuverlässigen Arbeitsplatz
Trinias hat ein elegantes Design in angenehmen Farbtönen wie Hellgrün und Weiß. Das sorgt für eine entspannte Atmosphäre bei Patienten sowie klinischen Anwendern.
SMART Touch
Während der Untersuchung werden Bildgebungsoperationen, wie die Auswahl von Aufnahmemodi und wechseln zwischen Referenzbildern und Display-Layouts in die intuitive und anpassbare Touchpanel-Konsole integriert. Für die Touchpanel-Konsole sind 3 Anzeigen verfügbar. Die Größe, die Anzahl sowie die Reihenfolge der angezeigten Symbole sind individuell anpassbar und verbessern die Crossover-Nutzung für verschiedene klinische Anwender.


SCORE PRO Advance
SCORE PRO Advance liefert hochwertige radiographische und fluoroskopische Aufnahmen bei weniger Bewegungsartefakten und geringerer Strahlendosis. Vor allem aber ist die neue bewegungserfassende Technologie rauschunterdrückend und ermöglicht eine suffiziente Sichtbarkeit der Spitze von Führungsdraht und Katheter.






Flex-APS
Diese Echtzeit-Artefaktoptimierungstechnik ist eine automatische Korrekturfunktion zur Verbesserung von DSA-Fehlregistrierungen. Flex-APS erkennt und verbessert automatisch den Abstand der Pixelbewegung zwischen MASK-Bild und jedem Einzelbild, unabhängig von der ROI-Bewegungsrichtung, wie z.B. Drehen.


SCORE Chase (Option)
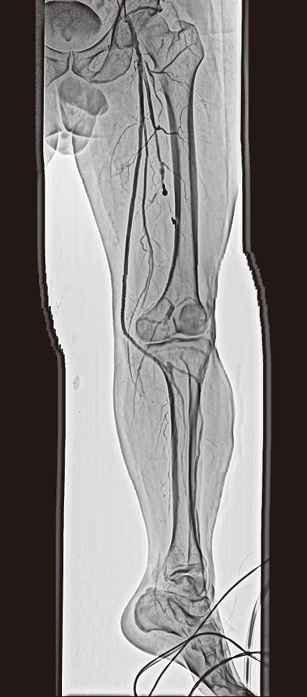
SCORE Chase ist eine Funktion für die Echtzeit-Betrachtung von peripheren Regionen. Die gesamte periphere Long-View-Aufnahme wird automatisch und ohne Zeitverzögerung zusammengefügt und angezeigt. Diese Anwendung ist für den SCORE-RSM- oder Digital-Acquisition-Modus verfügbar.


SCORE StentView (Option)
SCORE StentView unterstützt PCI-Eingriffe basierend auf der Bildverarbeitung in Echtzeit, ein Spezialgebiet von Shimadzu. Stents bewegen sich mit dem Pulsschlag. SCORE StentView bildet Stents jedoch in einer festen Position ab – nicht durch nachträgliche Verarbeitung, sondern in Echtzeit.
Dies ist besonders effektiv bei der Beurteilung des Lageverhältnisses überlappender Stents oder wenn ein Stent mit einem Ballon erneut erweitert wird. Das wesentliche Merkmal dieser Funktion ist die Region of Interest (ROI) zu spezifizieren. Sie ermöglicht, wie in bisherigen Versionen, mehrere Marker statt nur zwei für die automatische Erkennung zu verwenden, was zu einer höheren Erkennungseffizienz und kürzeren Untersuchungszeiten beiträgt.


SCORE StentShot
Durch Hervorheben des Stents und die signifikante Reduzierung des Bildrauschens wird die Sichtbarkeit des Stents verbessert, ohne die Röntgendosis weiter zu erhöhen.