Tomosynthese
Tomosynthese – das Unsichtbare sichtbar machen. Neue Version mit umfangreicheren Einsatzmöglichkeiten.
Die Tomosynthese ist eine hochmoderne und dabei bewährte Röntgentechnologie für präzisere Diagnosen. In einem einfachen schnellen Arbeitsgang und bei geringer Strahlendosis liefert sie hochwertige Mehrschichtaufnahmen und visualisiert, was für konventionelle Übersichtsaufnahmen unsichtbar bleibt. Daher genießt die Tomosynthese-Technologie weltweit zunehmende Aufmerksamkeit.
Die Tomosynthese ist in der Mammographie bereits populär; neu ist ihr Einsatz in Radiographie- oder Fluoroskopie-Systemen. Als Pionier der Tomosynthese für Röntgentischsysteme hat Shimadzu jetzt die vierte Generation der SONIALVISION Serie vorgestellt, das neue SONIALVISION G4 mit verschiedenen und fortschrittlichsten Anwendungen.

Tomosynthese auf einen Blick
„Tomosynthese” setzt sich zusammen aus ‚Tomographie’ und ‚Synthese’. Diese neue Art der Bildgebungstechnologie vereint die Kegelstrahl-CT-Rekonstruktion mit der digitalen Bildverarbeitung, um Aufnahmen spezifizierter Querschnitte aus einem einzigen Tomographie-Scan zu erzeugen. Sie liefert aus ihren Volumendaten rekonstruierte Mehrschichtaufnahmen.
HD-Tomosynthese
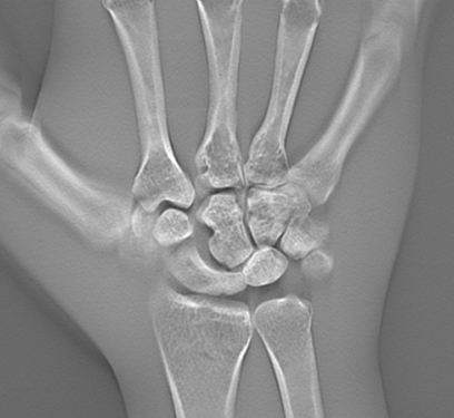
Eine der neuen Funktionen ist die „High Definition“ oder hochauflösende Tomosynthese. Da hier ein großes Datenvolumen verarbeitet wird, werden die Originaldaten auf dem Röntgendetektor mit 2x2-Binning aufgezeichnet, um die Verarbeitungszeit zu reduzieren und das endgültige Tomosynthesebild schneller auf dem Monitor anzuzeigen. Mit der neuesten Bildgebungstechnologie von Shimadzu ermöglicht nun die „HD Tomosynthese“ die Rekonstruktion des Tomosynthesebilds aus Originalbildern, die im hochauflösenden 1x1-Modus mit einem 15 cm großen Sichtfenster gewonnen werden. Dieser neue Modus liefert Bilder mit noch größerer räumlicher Auflösung und ist sehr effektiv bei der detaillierten Diagnose kleiner Bereiche wie der Knochen in den Fingerspitzen oder zur Erkennung von Mikro-Frakturen.

Oblique-Tomosynthese
Die neue Oblique-Tomosynthese Option liefert Schrägaufnahmen, die bei einem optimalen Winkel von ±20 Grad lateral oder vertikal passend zum idealen Diagnosewinkel rekonstruiert werden. Diese Option ist hilfreich bei der Untersuchung der Wirbelsäule, der Hüftgelenke und anderer Bereiche, die mit horizontalen Standard-Tomographieaufnahmen parallel zur Tischoberfläche schwierig zu betrachten sind.

Niedrig dosierte Tomosynthese
Die Tomosynthese ermöglicht es, mehrere Schichten von Volumendaten bei minimierter Röntgendosis zu betrachten und benötigt dafür nur einen einzigen linearen Tomographie-Scan. Durch Änderung des Sichtfelds und Einsatz der Kollimation kann die Strahlendosis reduziert werden, um eine unnötige Belastung außerhalb des relevanten Betrachtungsbereichs zu vermeiden. Die neue Option „Niedrig dosierte Tomosynthese“ verringert die Dosis noch weiter, so dass das System auch ideal für den Einsatz in der Pädiatrie geeignet ist.
Die Vorteile der Tomosynthese
Verringerte Untersuchungsdauer und Strahlendosis
Da die Aufnahmen eines spezifischen Querschnitts aus einem einzelnen, niedrig dosierten Tomographie-Scan rekonstruiert werden können, erfordert diese Technik weniger Zeit und eine geringere Strahlendosis als die konventionelle lineare Tomographie, um Mehrschichtbilder zu gewinnen. Die kurze Untersuchungszeit ist ein großer Vorteil bei gestressten oder immobilen Patienten.
Positionsfreie Tomographie
Mit der Tomosynthese von SONIALVISION können Bilder in jedem Winkel aufgenommen werden. Dazu gehört auch eine Vielzahl von Tischwinkeln, auch bei Aufnahmen von stehenden oder rückwärts geneigten Patienten unter Berücksichtigung der Schwerkraft, was mit CT-Scannern nicht möglich ist. So kann die Untersuchungsbandbreite erweitert werden.
Hochaufgelöste Aufnahmen mit minimalen metallischen Artefakten
Die Kombination aus hochauflösendem Flachdetektor und fortschrittlicher Bildgebung liefert Tomosynthese-Aufnahmen mit hervorragender Bildauflösung, die beispielsweise bei der Diagnose von Mikro-Frakturen sehr geschätzt wird.
Ein weiterer klinischer Vorteil liegt darin, dass die Tomosynthese-Aufnahmen nur minimal durch metallische Artefakte beeinflusst werden, die üblicherweise auf CT-Aufnahmen zu sehen sind. Daher ist die Tomosynthese heute in der Orthopädie insbesondere zur Folgediagnose von Patienten mit Metallimplantaten bestens geeignet.
Visualisierung einer Fraktur
Tomosynthese wird kaum durch Metallartefakte beeinflusst, daher ideal für die Orthopädie
Tomosynthese ist eine Niedrigdosis-Applikation, anwendbar für viele Körperregionen
Tomosynthesebild: Knie stehend unter Belastung
Präzise Darstellung des Bruches (Mit freundlicher Genehmigung des Okitama Public General Hospitals, Japan)
Präzise Darstellung des Knochaufbaus, postoperativ (Mit freundlicher Genehmigung des Nara City Hospitals, Japan)


